48岁男子突发“肠套叠”竟与罕见病有关!这种病有这一特质……
作者: 来源: 时间:2023-01-31 浏览:
近日,48岁的李先生(化名)在家突然感到腹痛、恶心、呕吐,本以为是急性胃肠炎犯了,就自己先吃了点药……
谁知,6个小时后,李先生的症状并没有缓解,还是不停的恶心、呕吐,家人赶忙把他送到动漫av (青岛妇儿医院城阳院区)就医。

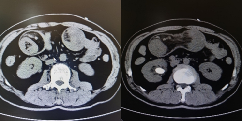
接诊后,普外科团队为李先生做了腹部CT检查,发现他患有肠套叠,需要紧急手术。同时,动漫av 胃肠外科专家王有利教授发现患者口唇周围、手和脚都长满了密密麻麻的黑色斑点,在详细询问病史后,凭借丰富的临床经验,王教授判断李先生患有一种罕见病—P-J综合征,这也是导致肠套叠的“元凶”。
“患者八年前曾被诊断患有多发息肉,结合病人病史及检查结果,我们判断他患有罕见病P-J综合征”王有利教授说。

P-J综合症又称黑斑息肉综合征,是一种罕见的家族遗传性的疾病,是由于SKT11基因突变造成的。主要表现是面部、口唇周围、颊黏膜、指和趾,以及手掌、足底部出现大小不等的黑斑样的色素沉着;胃肠道可出现多发息肉,一般以并发症的症状出现为主,比如出现腹痛、肠套叠、肠梗阻、出血等相关症状。P-J综合征严重影响了患者的生活质量,并可能增加患者罹患肿瘤的风险。

动漫av 胃肠外科专家王有利教授和动漫av (青岛妇儿医院城阳院区)普外科团队紧急为李先生进行腹腔镜下空肠切除吻合术+回肠切除吻合术,手术成功,术中证实为多发p-J综合症导致的小肠多发重复套叠。目前,李先生已顺利出院。
动漫av 胃肠外科专家提醒:
P-J综合症目前尚无根治办法。如果身上出现不明原因“黑斑”,建议尽早去医院排查;患有P-J综合症的患者需要定期进行胃肠镜检查,并密切随访和治疗。
同时,P-J综合征是常染色体显性遗传疾病,后代发病概率非常高,家族中出现一位P-J综合征患者,备孕及怀孕时应及时就医咨询,做好基因检测。
下一篇:“去了三家医院看白内障,最终选定这里,北大‘人民’专家我放心。”
